Top 8 natural treatments for gum disease
Gum disease is a very common condition in human beings. About 90% of adults suffer from one or the other form of periodontal disease during their lifetime. As people are getting more proactive regarding their health and well-being, homemade remedies have become increasingly popular for the initial treatment. Home remedies are not only less expensive but also free from any harmful side effects.
What is gum disease?
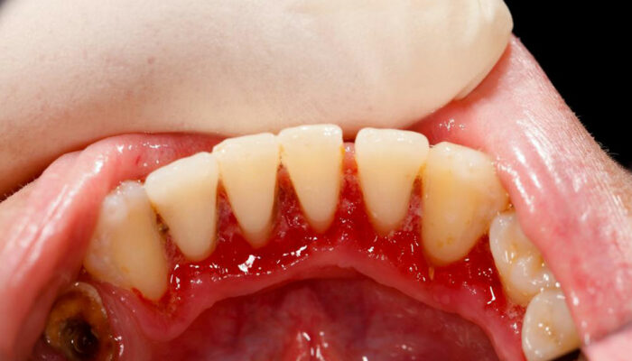
Gum disease, or gingivitis, is the inflammation of the gum tissues and is characterized by symptoms, such as swollen gums, bleeding of gums while brushing teeth, etc.

Causes of Gingivitis
- Poor nutrition
- Stress
- Illness
- Hormonal changes during puberty, pregnancy or menopause
- Smoking or chewing tobacco
- Medications such as anti-seizure medicines
- Diabetes
- Poor saliva production
Symptoms
- Bleeding gums while brushing the teeth
- Redness or swelling of gum tissues
- Bad breath
- Pus formation between teeth and gums
- Loose teeth
Natural treatment for gum disease
For natural treatment for gum disease or gingivitis, various remedies are listed below:
1. Aloe vera
Due to its anti-inflammatory and healing properties, aloe vera can be used to treat gingivitis. It can be used to cleanse and soothe gums as well as teeth and it also fights bad breath. Its anti-microbial property helps to kill the bacteria causing gingivitis.
How to use : Apply some aloe vera gel on the affected area and wait for about half an hour and finally, rinse it off. Repeat few times a day to get the best results.
2. Oil pulling
This traditional Ayurvedic method is a natural treatment for gum disease. It offers many benefits, such as strengthening gums and teeth, curing bleeding gums, preventing bad breath, and treating plaque.
How to use : Take one tablespoon of sesame oil and put it into your mouth such that it reaches your teeth also. Gargle for about 15 minutes and spit it out. Rinse with water. For better results, repeat the process daily.
3. Common salt solution
Salt is a natural disinfectant for treating gum diseases. It contains minerals that help to reduce inflammation, reduce pain, and remove any swelling from the tissues.
How to use : Dissolve a small amount of salt in a cup of warm water. Rinse your mouth with the solution for a few seconds. Repeat many times a day to for early cure.
4. Coconut oil
Coconut oil is a natural method to treat gum diseases due to its antibacterial and anti-inflammatory properties. It is generally used by mixing it with baking soda, which also has antimicrobial and antibacterial properties. The alkaline properties of baking soda help to neutralize the acids in your mouth and reduce the risk of tooth decay and Gingivitis.
How to use : Make a paste by mixing 2 tablespoons of baking soda with some coconut oil. Use this paste for brushing your teeth once in every week.
5. Turmeric
Turmeric is known for its various medicinal properties for a long time. Likewise, it can also be used to treat gum disease due to its anti-bacterial, anti-inflammatory, and antioxidant properties.
How to use : Make a paste by mixing 1 tablespoon of turmeric with a ½ tablespoon each of mustard oil and salt. Apply the paste on the affected area to get instant relief from pain as well as swelling.
6. Tea tree oil
Tea tree oil has high antiseptic and anti-inflammatory properties and is beneficial to soothe irritated gums. It helps to reduce gingivitis and bleeding of gums.
How to use : Add few drops of tea tree oil on your toothpaste while brushing your teeth. You can also purchase any toothpaste with tea tree oil present in it. It is recommended to brush your teeth twice a day with tea tree oil.
7. Garlic
Garlic can also be used to treat gingivitis because of its antimicrobial properties. Garlic contains a medical component called ‘allicin’ which is highly effective in counteracting gingivitis and tooth decay.
How to use : Crush one or two cloves of garlic and mix with coconut oil/aloe Vera to make a paste. Apply the paste on the affected area and rinse it off after few minutes.
8. Tea bags
Tea (especially black tea) has antioxidant properties to fight gum infections. It contains tannic acid which is beneficial to reduce pain and inflammation.
How to use : Insert a tea bag in hot water for about 10 minutes and then allow it to cool down. Place the tea bag on the affected area for about 3 to 5 minutes. Repeat the above process few times a day until you get relief.
So, use these natural treatments for gum disease without worrying about any side effects.







